REVOLUTIONIZING RADIOLOGY
FOR A HEALTHY LIFE
We are a proven Leader In AI Based medical Imaging and Radiology Solutions. Explore our FDA-Cleared AI-Powered tools enhanced by Advance Research and Human-centred Design
Welcome to InMed.




Delve into
InMed AI Studio
We are a proven Leader In AI Based medical Imaging and Radiology Solutions. Explore our FDA-Cleared AI-Powered tools enhanced by Advance Research and Human-centred Design
Trusted by the Trusted




Neuroshield – Our
Flagship Product
FDA-cleared Neuroshield leverages AI technology to deliver contextually relevant reports and actionable insights, ensuring accurate and prompt prognostics and diagnostics.
Explore InMed AI Studio
FDA-approved AI-powered healthcare and wellness tools, backed by advanced research, human-centred design.
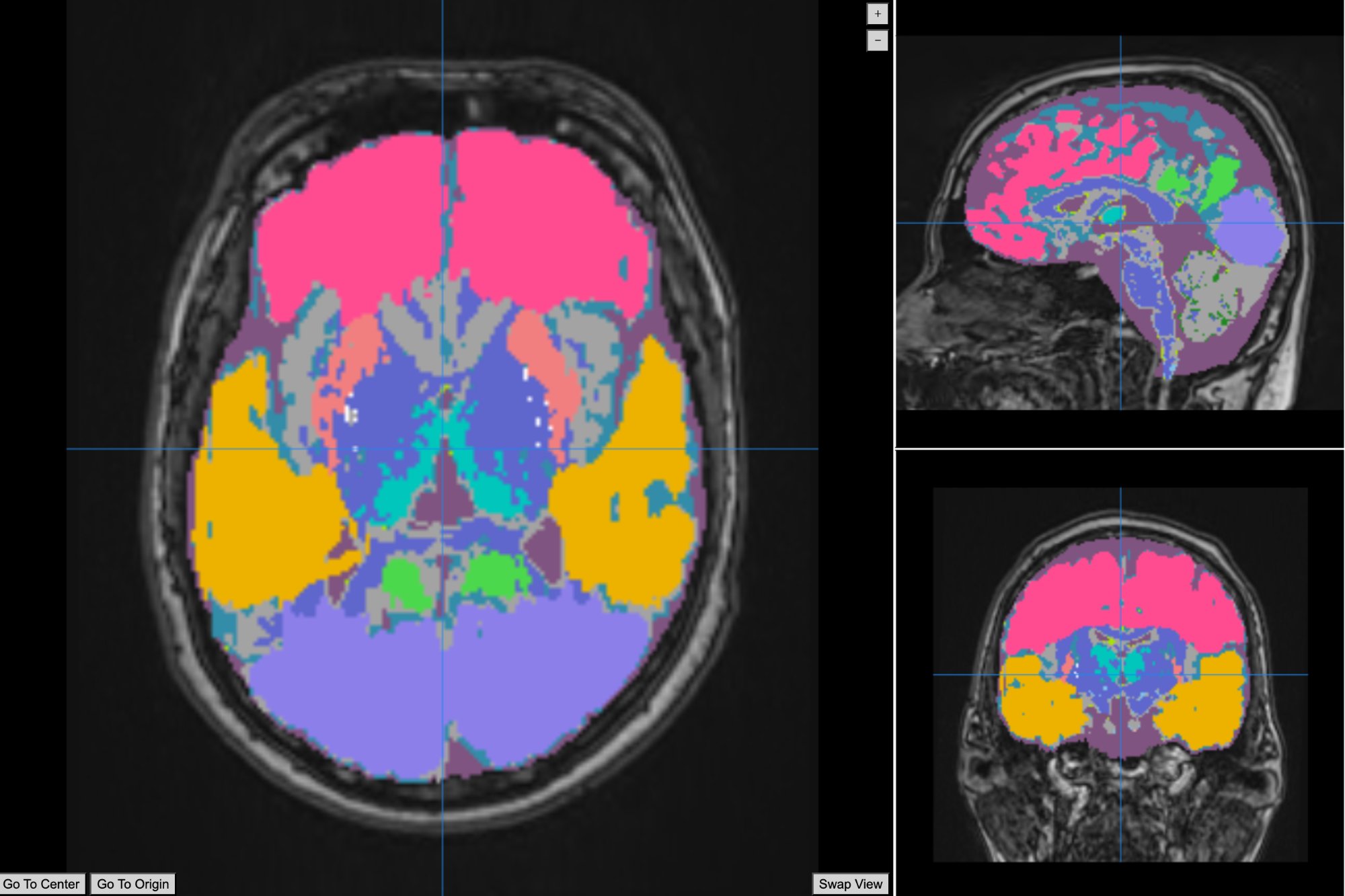
A brain volumetry tool that provides volumes of 30+ structures and condition specific reports.
A workflow prioritzation software that detects and alerts the clinical team about patients with emergency needs.
Accurately quantifies the distribution of muslce and various fat deposits providing multi-level insights to unlock optimal performance.
Detects and quantifies lesion volumes, assesses lesion characteristics and provides quantitative metrics for clinical evaluation.
In-Med Orthoshield X Ray
An X Ray product that specializes in osteophytes and disk narrowing detection in Spine X Rays.
(Coming Soon)
Need Guidance?
We hear you and we’re here for you. Our team will be more than willing to help you explore our best of the products.
The InMed Difference
First in the world to develop ethnicity-based reference ranges and composite reference ranges that do not oversample Caucasian data.
Precision and
Personalized Medicine
Precision and Personalized Medicine We are the first in the world to develop ethnicity-based..
Preventive
Healthcare
Our patented technology is used to build predictive prognostic models based on…
Flexible & Customizable Integration and Deployment
We offer various forms of integration and customization for standardized and…